Cyber Monday Sale Special Limited Time 70% Discount Offer - Ends in 0d 00h 00m 00s - Coupon code: scxmas70

AE-Adult-Echocardiography Exam Dumps - AE Adult Echocardiography Examination

Searching for workable clues to ace the ARDMS AE-Adult-Echocardiography Exam? You’re on the right place! ExamCert has realistic, trusted and authentic exam prep tools to help you achieve your desired credential. ExamCert’s AE-Adult-Echocardiography PDF Study Guide, Testing Engine and Exam Dumps follow a reliable exam preparation strategy, providing you the most relevant and updated study material that is crafted in an easy to learn format of questions and answers. ExamCert’s study tools aim at simplifying all complex and confusing concepts of the exam and introduce you to the real exam scenario and practice it with the help of its testing engine and real exam dumps

Go to page:
Question # 4

The parasternal long axis view can be used to visualize which anatomical structure?

A.

Coronary sinus

B.

Pulmonic valve

C.

Eustachian valve

D.

Left atrial appendage

Full Access
Question # 5

Which type of valvular lesion most commonly requires further evaluation with a non-imaging transducer?

A.

Aortic stenosis

B.

Mitral regurgitation

C.

Tricuspid regurgitation

D.

Pulmonic stenosis

Full Access
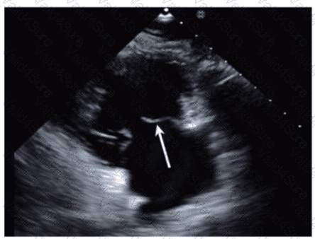
Question # 6

Which anatomic structure is represented by the arrow on this image?

A.

Left leaflet

B.

Posterior leaflet

C.

Septal leaflet

D.

D. Anterior leaflet

Full Access
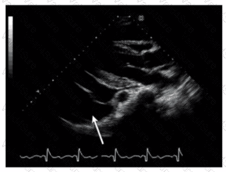
Question # 7

Which finding is indicated by the arrow on this image?

A.

Pericardial effusion

B.

Hiatal hernia

C.

Left pleural effusion

D.

Ascites

Full Access
Question # 8

Which critical finding is most likely to require immediate surgical intervention?

A.

True aneurysm

B.

Pseudoaneurysm

C.

Severe aortic stenosis

D.

Severe mitral stenosis

Full Access
Go to page: