New Year Sale Special Limited Time 70% Discount Offer - Ends in 0d 00h 00m 00s - Coupon code: scxmas70

AE-Adult-Echocardiography Exam Dumps - AE Adult Echocardiography Examination

Searching for workable clues to ace the ARDMS AE-Adult-Echocardiography Exam? You’re on the right place! ExamCert has realistic, trusted and authentic exam prep tools to help you achieve your desired credential. ExamCert’s AE-Adult-Echocardiography PDF Study Guide, Testing Engine and Exam Dumps follow a reliable exam preparation strategy, providing you the most relevant and updated study material that is crafted in an easy to learn format of questions and answers. ExamCert’s study tools aim at simplifying all complex and confusing concepts of the exam and introduce you to the real exam scenario and practice it with the help of its testing engine and real exam dumps

Go to page:
Question # 33

Which finding is NOT associated with severe mitral valve regurgitation?

A.

Severely dilated left atrium

B.

Systolic flow reversal in the pulmonary vein

C.

Mitral regurgitant jet velocity less than 0.5 cm/sec

D.

Eccentrically directed mitral regurgitant jet

Full Access
Question # 34

Which syndrome is associated with pulmonic stenosis?

A.

Turner

B.

Eisenmenger

C.

Noonan

D.

Marfan

Full Access
Question # 35

Which echogenic structure is indicated by the arrow on this image?

A.

Vegetation

B.

Tumor

C.

Thrombus

D.

Annular calcification

Full Access
Question # 36

Which of the following does this Image represent?

A.

Mitral valve inflow

B.

Tricuspid valve inflow

C.

Hepatic vein Doppler

D.

Pulmonary vein Doppler

Full Access
Question # 37

Which of the following is commonly evaluated by the sniff maneuver?

A.

Left atrial pressure

B.

Right ventricular outflow tract obstruction

C.

Left ventricular outflow tract obstruction

D.

Right atrial pressure

Full Access
Question # 38

Which finding is associated with coarctation of the aorta?

A.

Atrial septal defect

B.

Ventricular septal defect

C.

Left ventricular hypertrophy

D.

Right ventricular hypertrophy

Full Access
Question # 39

How are pseudoaneurysms best distinguished from true aneurysms?

A.

Pseudoaneurysms occupy the left ventricular apex.

B.

True aneurysms are lined with myocardium.

C.

Pseudoaneurysms have a wide neck.

D.

True aneurysms contain thrombus.

Full Access
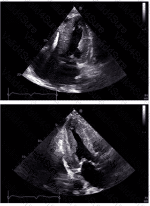
Question # 40

Which diagnosis is most consistent with the findings in these images?

A.

Takotsubo cardiomyopathy

B.

Apical hypertrophic cardiomyopathy

C.

Hypertrophic obstructive cardiomyopathy

D.

Restrictive cardiomyopathy from amyloidosis

Full Access
Go to page: